红细胞凝集图片

血型是按照什么来划分的_红细胞

图片尺寸600x450

胞凝集反应和细胞膜通透性的观察

图片尺寸494x327

血涂片镜检:可见大量红细胞凝集.

图片尺寸482x495

面对一份「高冷」的红细胞凝集标本,你会如何处理?

图片尺寸553x415

同名凝集原与凝集素相遇时(如a型凝集原和抗a凝集素)会发生红细胞凝集

图片尺寸1080x810

面对一份「高冷」的红细胞凝集标本,你会如何处理?

图片尺寸553x415

我们发现,1号血袋无凝集,2号血袋红细胞呈缗钱状凝集,故用生理盐水

图片尺寸395x418

遇到红细胞冷凝集的应对措施

图片尺寸486x416

面对一份「高冷」的红细胞凝集标本,你会如何处理?

图片尺寸553x558

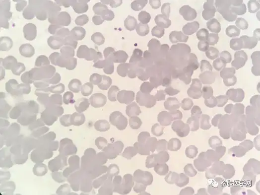
等待温育解聚的时间里,血涂片干燥镜检,镜下可见红细胞聚集成团或缗钱

图片尺寸783x1000

交叉配血试验中的红细胞凝集.用手机拍照.

图片尺寸1100x1101

一例冷凝集小病例讨论

图片尺寸750x1000

无法纠正的红细胞凝集结果到底该如何发

图片尺寸542x408

交叉配血试验中红细胞凝集不相容照片

图片尺寸306x300

waha,自身免疫性疾病,自身免疫系统攻击健康组织,发于任何年龄|红细胞

图片尺寸640x428

面对一份「高冷」的红细胞凝集标本,你会如何处理?

图片尺寸552x414

红细胞不凝集

图片尺寸1100x1129

解析交叉配血中常见的凝集反应|患者|凝集反应|红细胞|抗体|交叉

图片尺寸557x381

红细胞凝集

图片尺寸444x335

红细胞凝集图(照片来自网络)

图片尺寸1586x1004