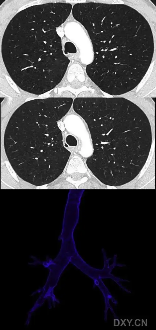
ct三维重建:观察右上肺占位组织是否存在变异血管,避免穿刺过程中损伤

高清图片下载 免费 安全无风险
ct三维重建:观察右上肺占位组织是否存在变异血管,避免穿刺过程中损伤

ct三维重建:观察右上肺占位组织是否存在变异血管,避免穿刺过程中损伤

点击图片查看原图

图片信息

  • 格式: JPG
  • 尺寸: 1280x864
  • 大小: 约1.2MB

版权声明

相关标签

自然风光 高清壁纸 4K画质

分享图片

相关推荐

基于当前图片的相似推荐

下面是三维重建的图像:在5毫米层厚的平扫上只有这一个层面可见,非常

肺结节随访增大怎么办?精细化三维重建明善恶!

人工智能ct三维重建立体定位指导下肺部小结节的精准肺段切除术

图123‐3 气道三维重建

早诊早治肺结节ct三维重建技术带来诊治新突破

【影像读片】气管憩室ct三维重建 [病例帖]

三维ct重建提示左肺血管分支减少

reid3型肺大泡:宽基深部肺大泡之三维重建.

synapse3d三维重建下的罕见气管分支及纵隔气管肺叶畸形

3dslicer肺部影像三维重建及虚拟支气管镜

三维影像重建黑科技聊城市三院让肺小结节切除更精准

ct 三维重建后可见左上肺静脉严重狭窄

随机推荐

发现更多精彩图片

2022年必的婚纱照风格75简单高级的浪漫

古天乐版神雕侠侣中的四个笑点而最后一个竟然和寻秦记有关

曝成毅参加《奔跑吧》连助理都没有,冻的直哆嗦没人管_明星_资源_外套

绝代佳人:祝绪丹 抬头遇见满眼温柔,让人怦然心动

后疫情时代中国产业链现代化与制造业高质量发展

《天官赐福》花城和谢怜,高清壁纸图片,动漫人物-回车桌面

超话小主持人 查看更多 a 微关系 她的关注(63) 宝贝乔__ 动漫头像 我

公主殿下驾到,少女心爆棚的头像,小时候谁还不想是个公主呢#漫 - 抖音

峯仙岩(顶庵)圆年吉祥,绿色食品摆盘,既省钱又漂亮

王者荣耀赵云插画第二弹,赶紧收藏吧

给你们发一张白图片