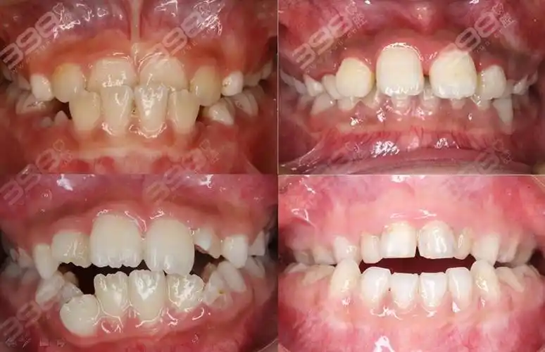
地包天怎么算严重 地包天严重程度分几种

高清图片下载 免费 安全无风险
地包天怎么算严重 地包天严重程度分几种

地包天怎么算严重 地包天严重程度分几种

点击图片查看原图

图片信息

  • 格式: JPG
  • 尺寸: 600x395
  • 大小: 约1.2MB

版权声明

相关标签

自然风光 高清壁纸 4K画质

分享图片

相关推荐

基于当前图片的相似推荐

怎么矫正成人畸形牙齿

04,发生牙齿错合畸形怎么办?

这几种牙齿畸形你知道吗再不矫正就晚了

昆明小孩牙齿矫正多少钱群里宝妈说很贵大概要10000元

牙齿矫正是否有最佳时间?_牙颌畸形_牙颌畸形治疗方式 - 好大夫在线

重度牙齿拥挤男孩:虎牙≠可爱!

牙齿矫正大概要花费多少钱?这是你最想知道的事!|口腔|畸形_网易订阅

常见的牙齿畸形都有哪些?

12岁之前必须处理的牙颌畸形要是早知道就好了

地包天在医学上称"反颌",是一种牙齿畸形: 下齿包住上齿.

淀山湖牙齿矫正要多长时间呢

随机推荐

发现更多精彩图片

华晨宇(三宫格) - 高清图片,堆糖,美图壁纸兴趣社区

如何看待金在中和沈昌珉的关系

湘壹眼镜,爱眼小知识,远离手机. - 抖音

绝地求生周边三级背包pubg同款吃鸡游戏防水迷彩电脑双肩学生书包2

乖乖女赖雨濛曝酷感写真大片

日月同辉徽派文化景墙设计

南无大吉祥天女菩萨

黑白图女生冷酷霸气侧颜(二)

工坊系列限量铃兰白小礼服.cocoon携品牌代言人张天爱,