标准的牙齿咬合到底是什么样的? - 知乎

高清图片下载 免费 安全无风险
标准的牙齿咬合到底是什么样的? - 知乎

标准的牙齿咬合到底是什么样的? - 知乎

点击图片查看原图

图片信息

  • 格式: JPG
  • 尺寸: 3216x2136
  • 大小: 约1.2MB

版权声明

相关标签

自然风光 高清壁纸 4K画质

分享图片

相关推荐

基于当前图片的相似推荐

标准的牙齿咬合到底是什么样的? - 知乎

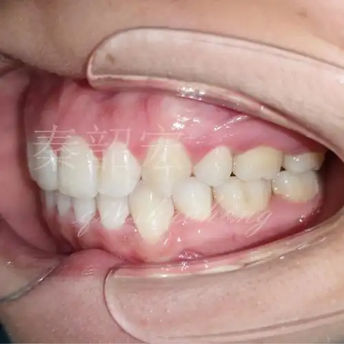
又叫做颌关系,正常的咬合应该是上排的牙窝,对准下排的牙尖,上排牙齿

前牙正常覆盖是多少_什么是正常的咬合

牙齿这样是不是咬合度有问题,本人20岁了,纠正需要多久?需要多久钱?

我把牙齿角度都救回来了,牙齿咬合也做到尖窝交错

什么是牙齿咬合不齐?咬合问题,自侧一下吧!

牙齿咬合关系正常的666要素60建议收藏起来

上牙包住下牙正常吗?请看标准的牙齿咬合图片

女生的牙齿排列整齐,严重深覆合的问题完全解除,咬合关系良好,开唇

符合美学标准的牙齿是什么样的?

随机推荐

发现更多精彩图片

古装美女#有谁看到雷峰塔了吗?啊哈,深度了解头像头像

34人黑社会团伙今日宣判 通过"仙人跳"获利460多万

李晨范冰冰昔日同台画面,两人同框就是糖,差一点就步入婚姻殿堂 - 抖

洛丽塔小裙子!服装设计图

英语:russianfederation),简称"俄罗斯",是由22个自治共和国,46个州,9

赵丽颖"蓝胭脂",周冬雨"徐碧城":富家千金特工成长之路

宜兴紫砂壶纯手工名家茶壶茶具套装大容量全手工朱泥大红袍西施壶

儿童识字500课:认识汉字 "口",3-6岁孩子常用汉字轻松掌握

神奇宝贝"合体进化",超梦变"沙鲁",皮卡丘长出猪鼻子!

活动 【新三国】连孔明都佩服的一方贤士