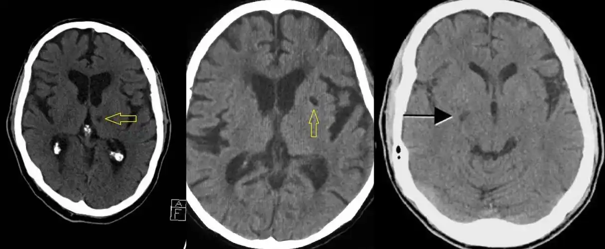
原创贺晓生教授拍案发言警惕婴幼儿颅脑损伤后广泛脑梗塞

高清图片下载 免费 安全无风险
原创贺晓生教授拍案发言警惕婴幼儿颅脑损伤后广泛脑梗塞

原创贺晓生教授拍案发言警惕婴幼儿颅脑损伤后广泛脑梗塞

点击图片查看原图

图片信息

  • 格式: JPG
  • 尺寸: 4128x2322
  • 大小: 约1.2MB

版权声明

相关标签

自然风光 高清壁纸 4K画质

分享图片

相关推荐

基于当前图片的相似推荐

急性缺血性脑卒中的识别与治疗_脑梗塞_疾病介绍_介绍 - 好大夫在线

术前头颅ct可见右侧大脑中动脉血栓 aspects评分 10分

【病例讨论】大面积脑梗塞溶栓1例 [病例帖]

我妈妈2014年11月3日突发急性脑梗塞(本身患糖尿病,甲亢),求广大网友

图5:dsa显示右侧颈内动脉起始段重度狭窄,左侧颈内动脉闭塞,左侧颈内

入院急诊查头颅ct提示右侧颞顶叶肿胀,片状低密度影,考虑急性大面积脑

【病例讨论】大面积脑梗塞患者拒食,如何处理? [病例帖]

其它 韩希忠,男,61岁,右侧小脑半球脑梗死,急性梗

5大ct征象诊断脑梗死

汇总超早期脑梗死ct征象

"腔隙性梗死"_脑梗塞_疾病介绍_介绍 - 好大夫在线

随机推荐

发现更多精彩图片

冷茶色掉色过程分享~冷茶色只有零次和无数次!

首页 桌面壁纸 日韩明星 韩国人气女星郑秀晶krystal时尚养眼写真桌面

粉色的绸缎被面,使这床棉被颜值更好.

我平时都穿70c,差这么多吗底围小真的不显大

90年代时尚穿着(刘陈平 提供)

全球限量1000份攻壳机动队 sac 蓝光大合集开箱图赏

2015产品设计手绘10月 一日一画

moribuden游城十代图集100张 - 哔哩哔哩

《摇曳露营》游戏截图(2)

满25元包邮 (上海青种子) 四九菜心 紫油菜 小白菜小青菜蔬菜

二传注明堆糖情癖/头像/壁纸/女生头像/身体/女头/小姐姐/真人