女, 快20岁, 嘴里右边上方这颗 虎牙,可以通过磨牙的方式磨平这颗虎牙

高清图片下载 免费 安全无风险
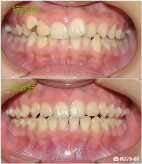
女, 快20岁, 嘴里右边上方这颗 虎牙,可以通过磨牙的方式磨平这颗虎牙

女, 快20岁, 嘴里右边上方这颗 虎牙,可以通过磨牙的方式磨平这颗虎牙

点击图片查看原图

图片信息

  • 格式: JPG
  • 尺寸: 768x1024
  • 大小: 约1.2MB

版权声明

相关标签

自然风光 高清壁纸 4K画质

分享图片

相关推荐

基于当前图片的相似推荐

虎牙可以磨平吗为什么会有虎牙虎牙能拔吗

虎牙被磨平了(虎牙可以磨平吗)3

虎牙到底要不要矫正呢看完这篇让你对虎牙彻底改观

全瓷牙初体验,把牙磨小了1,2毫米

杨幂热巴烤瓷牙都翻车,赵丽颖宋茜天然牙很可爱,明星真不该动牙|虎牙

本人18岁,我这颗虎牙能不能修复或者是拔掉,对身体有没有危害性?

虎牙矫正的最好方法虎牙怎么矫正

女子摔断牙齿去就医 被医生磨掉好牙

磨牙牙齿磨平抛光电动清洁牙结石牙后烟渍虎牙小型修牙科打磨机器

臭美把牙齿磨小了不想戴牙冠怎么办作精爱美的下场太惨

牙贴面也是要把牙齿磨小后贴上美容片吗?

有什么危害 我有四颗牙长得有点长 有点尖.想磨平.

随机推荐

发现更多精彩图片

给我一首歌的时间(新四合一吉他专用谱)

【帅男秀场】刘诺24岁天蝎座空乘

情侣头像甜到爆一人一半动漫图片

王源晒新年比耶自拍

tnt时代少年团高清壁纸

王思思图片 王思思赫兰铁朵活动照图片

没有技巧!想瘦小腿的快练这个!适合 - 抖音

华为新款小折叠神仙配色##华为小折叠六色齐发

我要和女朋友约会去了金馆长梳头照镜子吹风机gif动图_动态图_表情包

猫尾巴时钟尾巴会动的猫咪挂钟表抖音可m爱摇摆尾巴猫形卡通挂钟

每日一画|黑白线描花卉·百合花 「临摹来自: 特别感谢原创作者提供

苹果iphone手机壁纸哆啦a梦