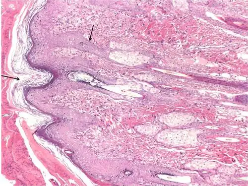
【求助】求教,如何识别皮肤的he染色切片!

高清图片下载 免费 安全无风险
【求助】求教,如何识别皮肤的he染色切片!

【求助】求教,如何识别皮肤的he染色切片!

点击图片查看原图

图片信息

  • 格式: JPG
  • 尺寸: 3264x1972
  • 大小: 约1.2MB

版权声明

相关标签

自然风光 高清壁纸 4K画质

分享图片

相关推荐

基于当前图片的相似推荐

求大神帮忙看下大鼠皮肤he染色片子

求大神帮忙指导------大鼠皮肤he染色图

求大神帮忙指导------大鼠皮肤he染色图

并利用组织切片he染色检测皮肤角质层微观结构变化

请问有谁做过表皮的he染色?

求大神帮忙指导------大鼠皮肤he染色图

真皮浅,深层和附属器周围有中等量淋巴细胞,组织细胞浸润(he染色×40)

真皮上部高度水肿,胶原纤维分离.(he染色×100)

求大神帮忙看下大鼠皮肤he染色片子

图3-10-46 真皮上部高度水肿,胶原纤维分离(he染色×100)诊断本病诊断

he染色:皮肤组织无炎症或坏死fontana-masson染色:区域3,4黑色素沉积

5年轻度瘙痒皮肤异色斑片和稀薄斑块,请你来分析

随机推荐

发现更多精彩图片

失望放弃的图片带字

职业女性头像真实高清 女生头像图片大全 -【爱个性】

身材高大威猛的95后小狼狗,颜值爆棚,多才多艺的男生最爱欢迎!

【#多重曝光海报#】bafta 2016 best film posters by levente szabo

温暖的绵小软表情包 可爱动漫表情包

很可爱很个性的简约壁纸锁屏

小鸟gif飞翔gif白色gif水面gif

额头上长痣的运势怎么样?_观音灵签算命网

adidas儿童鞋码对照表