杨幂牙齿内倾的教训告诉你,拔牙并不能瘦脸

高清图片下载 免费 安全无风险
杨幂牙齿内倾的教训告诉你,拔牙并不能瘦脸

杨幂牙齿内倾的教训告诉你,拔牙并不能瘦脸

点击图片查看原图

图片信息

  • 格式: JPG
  • 尺寸: 720x960
  • 大小: 约1.2MB

版权声明

相关标签

自然风光 高清壁纸 4K画质

分享图片

相关推荐

基于当前图片的相似推荐

杨幂晒代言照被吐槽脸太僵牙齿太假这是和代言有仇吗

杨幂参加晚会生图爆缺点港风造型翻车很显老整牙后遗症明显

杨幂有本事杀了我杀不死就等着我更强吧

杨幂的脸垮得挺快,嘴一直控制不住地瘪瘪,网友:应该是做了手脚|整容

杨幂素颜照被爆这才是真实的容貌网友刘恺威做对了吗

11岁杨幂竟是龅牙今却被质疑整容粉丝我大幂幂天生丽质

杨幂情商高?她大概只是精于趋利避害而已

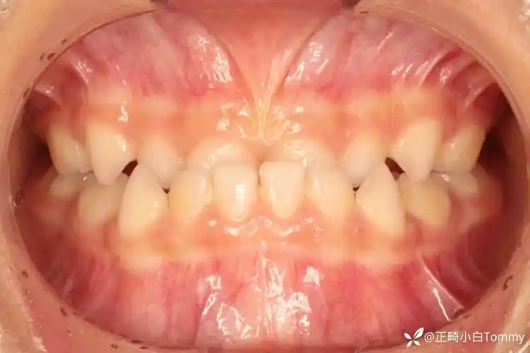
杨幂在采访的时候告诉大家,拔智齿可以瘦脸,但是真的如此吗?

杨幂近照愈发显老,完全失去了在仙剑中的灵动,让人不仅感叹,虽然衰老

因为拔牙整牙的关系,杨幂的牙齿变成内倾型

杨幂直播打光师,修图师双双离线,对不起少女幂称号-新浪整形美容主任

三年三个月大,上下颌均处于乳牙列时期,牙齿也非常整齐孩子无不良习惯

随机推荐

发现更多精彩图片

请高手帮我素描一副"素心腊梅",请看清是这个品种哦,本人用来参考设计

先在头顶处取一束头发,县按照编三股麻花辫的方式重复编两到三次,让这

888_497gif 动态图 动图

天麻个 天麻片天麻个/天麻包邮冬麻/产地特价500克包邮

大s重返直播出事故,意外暴露真实状态!引发网友热议!

求生之路2 电脑游戏 壁纸

李晟出演的四部经典古装剧你知道的小燕子不是最美的